Protese Dentária

Recupere Seu Sorriso na Atuale Odontologia Integrada

Recupere seu sorriso com confiança:

A perda de dentes pode impactar não apenas a autoestima, mas também a saúde bucal e a qualidade de vida. Na Atuale Odontologia Integrada, entendemos que a função mastigatória e a estética do sorriso caminham juntas. Por isso, oferecemos Próteses Dentárias personalizadas que restauram a harmonia do seu sorriso e promovem o equilíbrio da sua saúde oral.

WhatsApp Image 2025-09-27 at 09.24.15
WhatsApp Image 2025-09-27 at 09.24.14

Soluções sob medida para você

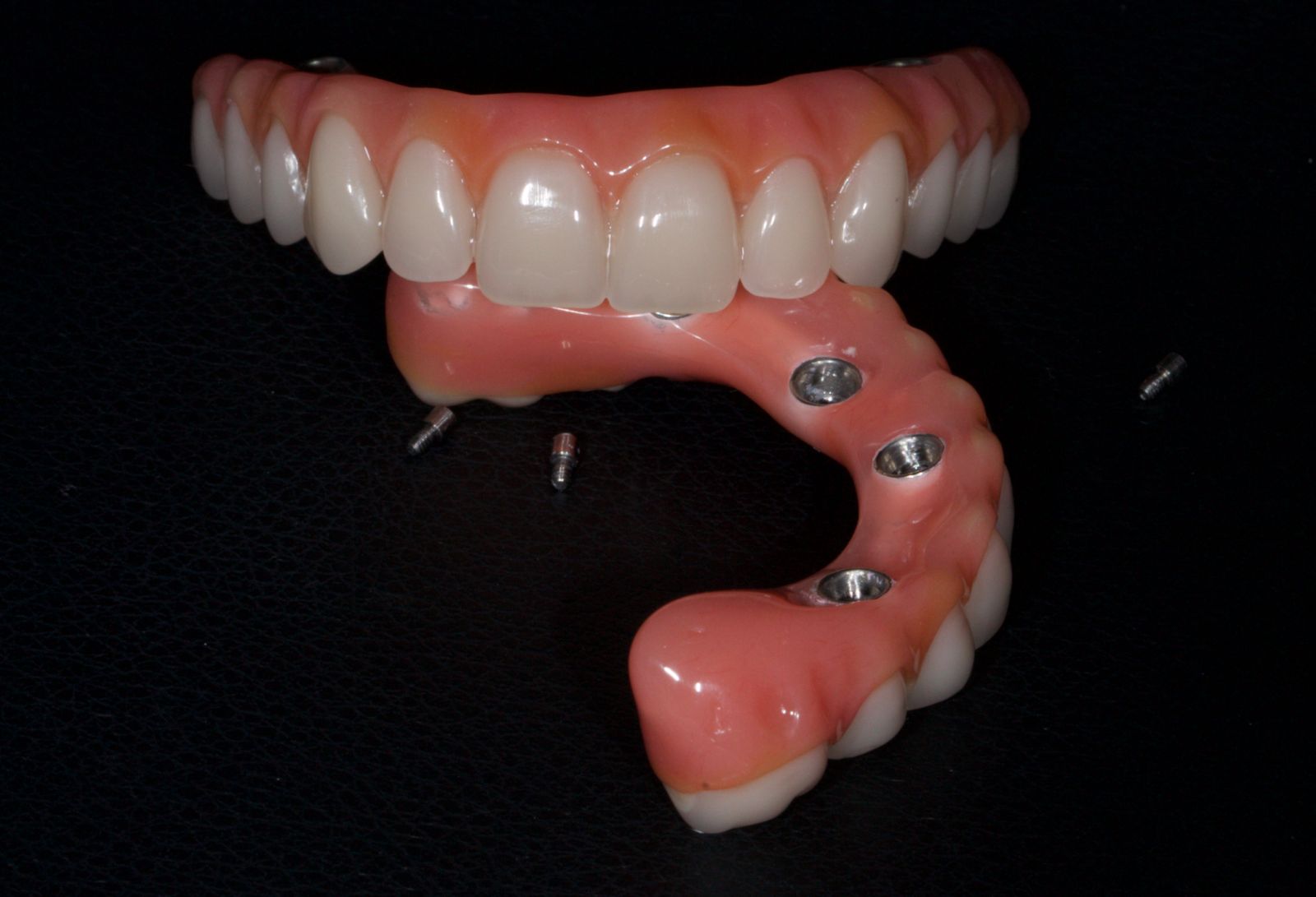
As Próteses Dentárias são uma solução utilizada para substituir dentes perdidos ou danificados restaurando a função e a estética do sorriso. Elam podem ser feitas de diferentes materiais e também podem ser fixas ou removíveis, dependendo da necessidade e da situação do paciente.
Para qualquer tipo de prótese dentária utilizamos técnicas modernas e materiais de alta qualidade, garantindo resultados naturais, duradouros e confortáveis. De uma forma totalmente personalizada. Além de devolver a confiança para sorrir, nossas próteses contribuem para a preservação da Saúde bucal, a Correta mastigação e a saúde das gengivas.

Estamos aqui para acompanhar você em cada etapa

Redescubra o prazer de sorrir com segurança, bem-estar e saúde! Agende uma consulta conosco e permita que nossa equipe cuide do seu sorriso com todo o carinho e dedicação que você merece. Estamos ansiosos para te receber na Atuale Odontologia Integrada!

Pronto para transformar seu sorriso e bem-estar?

Realize o sonho de ter um sorriso saudável e bonito!
Oferecemos diversas opções de pagamento que facilitam sua decisão. Não adie mais a sua felicidade. Vamos tornar seu sonho realidade!

Agende Sua Avaliação Agora!

Na nossa clínica, combinamos experiência e tecnologia para oferecer um atendimento personalizado, garantindo não só dentes saudáveis, mas também o bem-estar e confiança que você merece.

A Especialista

Dra. Gerusa

Cirurgiã-dentista com 20 anos de experiência, especialista em Prótese Dentária e Implantodontia, com habilitação em Laserterapia. Une técnica, sensibilidade e atendimento humanizado.

Não espere mais! Agende sua avaliação gratuita hoje mesmo e descubra como podemos ajudar você a sorrir novamente com confiança.

Transforme seu sorriso!